Korony protetyczne
W przypadku, gdy ząb jest uszkodzony w takim stopniu, że zwykłe wypełnienie okazuje się niewystarczające, najlepszym wyborem są korony protetyczne. Zdarza się tak z powodu zaawansowanej próchnicy bądź uszkodzenia mechanicznego, którym jest np. złamanie. Ten rodzaj odbudowy stosuje się też przy zębach przebarwionych, z wrodzonym brakiem szkliwa, a także po zakończeniu leczenia kanałowego. Korony protetyczne mogą być też ostatnim etapem leczenia implantologicznego.
Czym właściwie jest korona protetyczna? Ma ona formę nakładki na ząb, która mocowana jest na nim na stałe. To jedno z najlepszych rozwiązań, ponieważ nie trzeba go każdorazowo wyjmować ani używać specjalnych klejów do jej mocowania.

Spis treści
- Przeciwwskazania do założenia korony
- Rodzaje koron zębowych
- Korony porcelanowe na podbudowie metalowej
- Korony pełnoceramiczne
- Korony cyrkonowe
- Korony e-max
- Ile kosztuje korona zębowa?
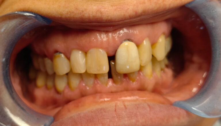
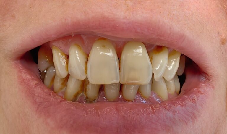
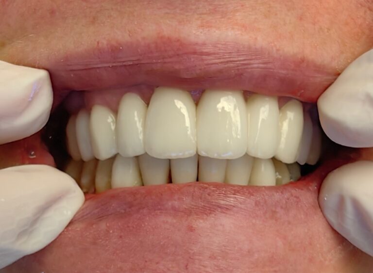
- Metamorfozy
Przeciwwskazania do założenia korony
Przeciwwskazaniem do założeniem korony zębowej jest próchnica (dopiero po jej wyleczeniu możliwe jest wykonanie koron). Koron nie zakłada się też w przypadku zmian w obrębie wierzchołka korzenia, a także zbyt zniszczonych zębów (w takich wypadkach stosuje się wkłady koronowo-korzeniowe lub wzmocnienie włóknem szklanym).
Rodzaje koron zębowych
Jeśli chodzi o rodzaje koron zębowych, wyróżnia się korony na podbudowie metalowej, pełnoceramiczne, cyrkonowe oraz korony e-max.
Korony porcelanowe na podbudowie metalowej
Korony na podbudowie metalowej wykonuje się na podstawie z metalu, która pokrywana jest porcelaną. W naszych pracach stosujemy stal, złoto lub tytan. Należy mieć jednak na uwadze, że niektóre metale mogą wywoływać reakcje alergiczne.
Korony pełnoceramiczne
Korony protetyczne pełnoceramiczne wykonane są w całości z porcelany. Nie mają żadnych metalowych elementów, co czyni je bezpiecznymi dla organizmu. Ponadto nie wywołują one reakcji uczuleniowych. Porcelana jest bardzo trwała oraz odporna na uszkodzenia.
Korony cyrkonowe
Korony cyrkonowe tworzone są na podbudowie z cyrkonu, następnie licowanego cienką warstwą porcelany. Cechuje je wyjątkowa trwałość i twardość, a także doskonały efekt wizualny. Wynika to z właściwości cyrkonu, który ma trwałość metalu oraz estetykę porcelany. Jest on też w pełni bezpieczny dla organizmu, co więcej nie wywołuje alergii.
Korony e-max
To obecnie najdoskonalsza forma uzupełnienia braków w uzębieniu. Pełnokonturowe korony e-max są w całości wykonywane z porcelany. Dzięki temu wyróżnia je wyjątkowa przezierność i w pełni naturalny efekt uzupełnienia. Ich doskonały wygląd idzie w parze z bardzo wysoką trwałością.
Podczas wizyty nasz stomatolog zawsze omawia z pacjentami rodzaje koron i wskazuje na najlepsze rozwiązanie w konkretnym przypadku.
Ile kosztuje korona zębowa?
To, ile kosztuje korona protetyczna zależy od jej rodzaju. Najwyższą ceną, ale i estetyką wyróżniają się korony cyrkonowe i e-max. Nieco tańsze są korony porcelanowe, z kolei za najniższą kwotę można wybrać korony porcelanowe na podbudowie metalowej. Informacje na temat tego, ile kosztuje korona zębowa oraz inne usługi w naszym gabinecie znajdziesz w zakładce Cennik.







